Smile Gallery

At Bright Pointe, we have been providing family-friendly dental care in Marysville, Michigan, since 1992. Our dentists, Dr. Fadi Moosa and Dr. Michelle Vredenburg, and every member of our team take pride in helping our patients create fantastic smiles. With a large number of options for care, we can address every issue you may have with your smile. We especially enjoy providing our patients with dental implants, Invisalign® clear aligners and root canal treatments. Please visit our gallery to see examples of our dental work in Marysville, Michigan. If you are ready to explore the options for your new smile, call 810-364-9060 and speak with a member of our team.

 

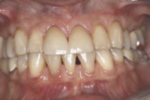
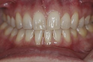
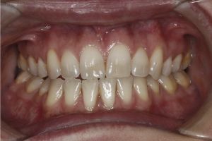
Dental Crowns
Before
After

 

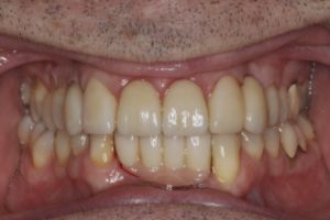
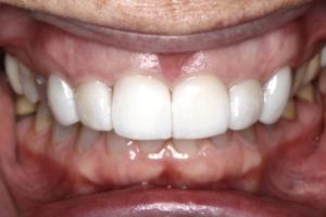
Crowns and Implants
Before
After

 

Dental Veneers
Before
After
Before
After

 

Invisalign
Before
After
Before
After